Герпес – неприємне вірусне захворювання, для якого характерні висипання на шкірі та слизових інфікованих згрупованих бульбашок. Похідником інфекції є хвора людина (вірусоносій)…
Вірус розповсюджується контактним способом.
Для вилазки герпесу повинні створитись сприятливі умови, до них належать:
- Переохолодження або перегрівання;
- Зниження імунітету;
- Гіповітаміноз;
- Інші захворювання (грип, пневмонія, малярія).
Простий герпес

Зараження вірусом простого герпесу відбувається в ранньому дитинстві, проте захворювання не показує себе у зв’язку з наявністю материнського імунітету. До кінця першого року життя цей захист слабшає і при сприятливих обставинах може розвиватися гостре захворювання. Потрапивши в організм людини вірус простого герпесу залишається протягом усього життя.
Простий герпес проявляється у вигляді скупчених дрібних бульбашок з прозорим вмістом на запаленій основі, зазвичай на губах, крилах носа, може бути уражена слизова оболонка порожнини рота, очей, статевих органів.
Висипання пухирців передує невелике свербіння шкіри, іноді – незначний озноб, загальне нездужання, розлад шлунково-кишкового тракту (особливо у дітей). У рідкісних важких випадках у маленьких дітей може бути ураження внутрішніх органів, нервової системи, в цьому випадку хвороба протікає з високою температурою і порушенням загального стану дитини.
Зазвичай через 7-10 днів бульбашки зсихаються в кірочки, які потім зходять, залишаючи нестійкі рожеві або коричневі плями.
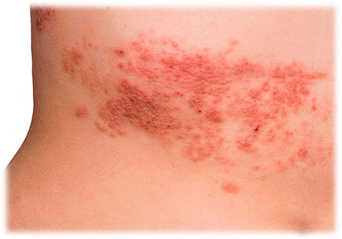
Оперізуючий герпес

Викликається вірусом вітряної віспи.
Хворіють ним тільки дорослі. У дітей до 10 років це захворювання практично не зустрічається, проте діти, які контактували з хворим на оперізувальний герпес, можуть захворіти на вітряну віспу. Збудник такого типу герпесу вражає не тільки шкіру, але й нерви, тому першими симптомами зазвичай бувають біль міжреберних, стегнового нерва, який вражений вірусом, а також головний біль.
Через кілька днів на ділянці шкіри по розміщенню ураженого нерва (зазвичай на одній стороні тіла) з’являються висипання у вигляді згрупованих бульбашок спочатку з прозорим, а потім з гнійним, іноді кров’яним вмістом на запаленому місці. Збільшуються лімфатичні вузли, підвищується температура тіла, порушується загальний стан хворого.
З 6-8-го дня бульбашки починають підсихати, покриваючись корочками; через 2-5 тижнів захворювання проходить.
У літніх, ослаблених людей невралгічні болі можуть триматися довго після зникнення висипки.
Лікування герпесу

При легкому перебігу простого герпесу і локалізації висипань на губах, у крил носа, якщо бульбашки не поширюються і стан хворого не порушено, щоб уникнути розповсюдження вірусу можна змастити бульбашки 1-2 рази в день розчином метиленового синього або брильянтового зеленого, противірусної оксоліновою маззю.
При локалізації висипань на статевих органах, очах, в порожнині рота, при розладі загального стану хворого і в разі рецидивуючого перебігу, а також при оперізуючий герпес необхідно проводити лікування під постійним контролем лікаря та з застосуванням спеціальних ліків.
Хворим герпесом рекомендується тепло одягатися, уникати охолодження. Хворому оперізуючий герпес в розпалі захворювання слід дотримуватися постільного режиму. Їжа повинна бути багата вітамінами, особливо групи В. При ураженні слизової оболонки рота за порадою лікаря застосовуються часті полоскання.

